CHUẨN BỊ VÀ CÁC QUY TRÌNH ĐẶT IMPLANT
Ngày nay, implant đã trở nên rất phổ biến, nhưng nếu BS không được đào tạo và không có kế hoạch kỹ lưỡng thì rất dễ xảy ra tai biến. Một số tai biến tiêu biểu được phân loại như sau:
- Tai biến trong lúc phẫu thuật
- Tai biến hậu phẫu
- Tai biến về thẩm mỹ
- Tai biến về sinh cơ học
- Tai biến về mô nha chu
Tai biến trong lúc phẫu thuật
- Tai biến do các bệnh toàn thân không được phát hiện (vd bn có tiền sử tim mạch, có dùng thuốc chống đông, có các bệnh toàn thân nguy hiểm)
- Xâm phạm vào các vùng giải phẫu nguy hiểm (mạch máu, dây thần kinh..do không khảo sát trên phim cắt lớp kỹ trước khi mổ)
- Cắm implant sai hướng, sai vị trí
- Thủng xoang hàm, gãy xương hàm
Tai biến hậu phẫu
- Nhiễm trùng hậu phẫu
- Hở vạt
- Chảy máu kéo dài sau phẫu thuật
Tai biến về thẩm mỹ
Implant răng cửa sai vị trị
Implant răng cửa sai vị trị và hướng
Implant răng sau sai hướng
Tai biến về cơ sinh học
Implant thiếu về số lượng, kích thước và các vị trí phân bố không hợp lý khiến cho phục hình không chịu lực nổi, gây tiêu xương, gãy các thành phần implant và phục hình
Implant bị tiêu xương do quá tải lực, lập kế hoạch điều trị không đúng
Ngoại trừ một số trường hợp đặc biệt, đa số các tai biến đều có thể tránh được bằng cách khám và lập kế hoạch điều trị cẩn thận.
Quy trình khám và lập kế hoạch điều trị tiêu chuẩn
- Đầu tiên là BS trao đổi kỹ lưỡng về tiền sử bệnh của BN, nếu có bệnh toàn thân, phải giải quyết và có biện pháp dự phòng
- Cho xét nghiệm máu, chụp phim toàn cảnh, cắt lớp để khảo sát kỹ lưỡng xương hàm của BN
- Khám trong và ngoài miệng, chụp ảnh
- Lấy dấu răng và dấu khớp cắn hai hàm
- Dùng phần mềm để khảo sát và lên kế hoạch điều trị chi tiết, khi BN nhất trí thì mới tiến hành phẫu thuật đặt implant
Quy trình này có thể tốn thêm chút ít thời gian, nhưng nó thật sự an toàn cho BN và dự báo được kết quả điều trị lâu dài
Các quy trình cơ bản của việc đặt implant
Có hai quy trình cơ bản: truyền thống và đặt implant - làm phục hình tức thì
Quy trình truyền thống: BS sẽ đặt implant rồi cho BN chờ đợi một khoảng thời gian từ 4-6 tháng sau mới làm phục hình. Ưu điểm là an toàn, tỷ lệ thành công cao nhưng khuyết điểm là mất thời gian.
Quy trình truyền thống: Implant được để yên trong xương 4-6 tháng rồi mới làm phục hình
Đặt implant và làm phục hình tức thì: Sau khi nhổ răng, đặt implant và làm ngay phục hình. Ưu điểm của phương pháp này là tiết kiệm thời gian, BN có răng ngay nên thường được chỉ định cho vùng răng cửa. Khuyết điểm là kỹ thuật khó làm hơn và phải đáp ứng được mộ số yêu cầu (vd xương quanh răng phải thật lành mạnh, đầy đủ, khi vặn implant vào xương phải đủ vững chắc.
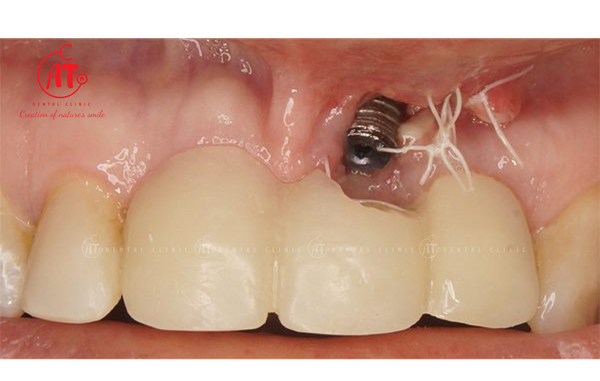
Minh hoạ trường hợp nhổ răng và đặt implant tức thì
Tìm hiểu kỹ hơn về Cấy ghép Implant tại Nha khoa AT
Nếu bạn còn có những thắc mắc gì về ghép xương ổ hàm, ghép xương răng trong trồng răng thì vui lòng gọi về Hotline:1900 633 805 hoặc để lại yêu cầu gọi lại để được các bạn tư vấn viên giải đáp ngay nhé!






